L’olio di palma è l’ingrediente delle controversie. Da molti demonizzato a causa delle alte percentuali di grassi saturi (potenzialmente dannosi per il colesterolo), sembra ad oggi aver trovato uno spazio ufficiale nella medicina. Secondo una ricerca condotta dall’Università statale di Milano in collaborazione con quella dell’Aquila, la presenza nell’olio di palma dei tocotrienoli, dei derivanti della vitamina E, potrebbe contrastare il melanoma. I ricercatori hanno spiegato sulla rivista Scientific Report come le sostanze antiossidanti presenti in quest’olio vegetale esercitino una importante azione antitumorale, in particolare sulle cellule del melanoma umano.
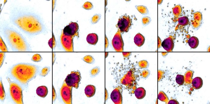
Lo studio, coordinato da Patrizia Limonta, si è concentrato sulle proprietà del delta‐tocotrienolo (δ‐TT) che si trova nell’olio di palma e nei semi di Annatto, utilizzati nell’America latina per la creazione di un colorante alimentare giallo-rossiccio. I benefici dell’olio di palma sono stati dimostrati con una serie di test. Ciò che è emerso dagli esami in vitro è la correlazione tra il δ‐TT e l’apoptosi, ovvero la morte cellulare programmata. Secondo i ricercatori milanesi e aquilani, attraverso un meccanismo detto “stress del reticolo endoplasmatico, il δ‐TT spingerebbe le cellule tumorali a un suicidio altruistico. Questo beneficio è stato confermato anche nei test in vivo. Infatti, il team ha potuto osservare il composto δ‐TT all’opera, constatando come sia capace di rallentare la crescita del melanoma e la progressione della malattia. Inoltre si è potuto dimostrare che il δ‐TT, nonostante le proprietà “aggressive” nei confronti delle cellule malate, non abbia alcun effetto negativo su quelle sane.
Secondo l’ AIRTUM (Associazione italiana registri tumori) il melanoma colpisce in Italia circa 13 persone ogni 100.000 abitanti. Complici il sole “malato” e la poca informazione, l’incidenza sarebbe in continua crescita. Questi recenti studi spalancano le porte a nuove cure per uno dei tumori più aggressivi che colpiscono l’uomo. Ad essere in pericolo è la pelle: l’estensione del nostro più importante organo di protezione fa sì che il melanoma venga spesso diagnosticato in fase di metastasi, risultando più difficile da sconfiggere. I benefici dell’olio di palma potrebbero essere la chiave di volta che abbatterà il melanoma? “Verranno effettuati nuovi studi sia in vitro che preclinici – ha dichiarato la Dott.ssa Limonta – l’osservazione sarà volta a valutare se il δ‐TT sia in grado di potenziare l’azione dei trattamenti standard attualmente impiegati per il melanoma o di rallentare lo sviluppo della resistenza a queste terapie”.


















