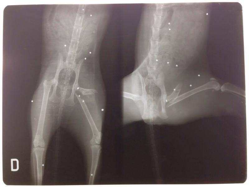
MILANO – Un gatto randagio di Legnano morirà in modo orribile a causa di uno scherzo e della crudeltà umana. I residenti del comune hanno adottato da circa un mese questo animale, dandogli da mangiare e da bere, invitandolo quindi a restare. Un giorno, però, il gatto ha cominciato a sanguinare e alcuni cittadini hanno deciso di portarlo in una clinica veterinaria per gatti. La diagnosi è stata di cistite emorragica, ma quando il felino è stato sottoposto ad una lastra, i veterinari sono rimasti scioccati.
I medici hanno notato la presenza di decine di pallini di piombo presenti all’interno dell’animale da quando era probabilmente solo un cucciolo. I sanitari hanno chiesto subito informazioni a chi aveva consegnato loro il gatto, ma questi non sapevano nulla di quello del passato dell’animale. Qualcuno, forse quando era solo un cucciolo, si è divertito a sparare contro il povero felino con una pistola a pallini metallici. È stato escluso che si sia potuto trattare di un incidente data la quantità di pallini presenti. Uno dei veterinari che hanno in cura l’animale ha dichiarato: “I puntini sulla lastra e la cistite non sono collegati, ma è molto probabile che nei prossimi mesi o anni l’animale muoia per un avvelenamento da piombo”.

















