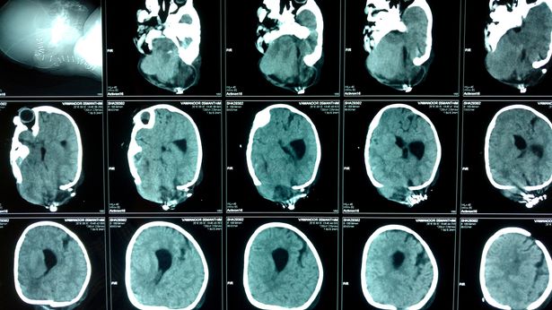
INDIA – Al piccolo Yamanoor Naranal, di solito 5 mesi, è stato diagnosticata un’encefalocele occipitale, una rara condizione che porta alla fuoriuscita di fluido dalle ossa del cranio creando un sacco cistico attaccato alla scatola cranica. La ciste era così grande che sembrava una seconda testa e aveva raggiunto i 20 centimetri di diametro, gli stessi della testa di neonato. Per i medici sembrava non esserci una cura.
I genitori di Yamanoor non si sono arresi e, dopo aver ricevuto molto rifiuti, alla fine sono stati in grado di trovare qualcuno che potesse aiutare il loro piccolo: “Molti medici mi hanno detto che c’era il 90% possibilità che il mio bambino sarebbe morto in caso di intervento chirurgico e che era meglio non rischiare, ma poi abbiamo ottenuto un raggio di speranza a Bangalore quando un medico ha detto che vi era una possibilità del 50% di sopravvivenza e così abbiamo afferrato l’occasione”.
Il 27 marzo, il piccolo è stato sottoposto all’operazione per la rimozione della seconda “testa” e l’intervento è durato quasi 6 ore. Le speranze di successo erano minime perché i bambini piccoli non possono perdere troppo sangue. Un neurochirurgo che si è occupato del caso ha spiegato che il problema di Yamanoor è stato causato dalla mancanza di acido folico nel corpo della madre. Il piccolo è stato dimesso dall’ospedale e le sue condizioni sono buone, anche se ogni 3 mesi dovrà fare dei controlli.


















